갑상선 미세유두암 비수술적 치료 방법과 지원금에 대한 정보
- 카테고리 없음
- 2022. 8. 14. 19:12
이번에는 갑상선 암중에서도 최근에 많은 분들이 건강검진에서 발견하는 갑상선 미세유두암에 대해서 설명을 드리며, 치료방법 중 고주파 절제술에 대한 내용도 함께 다뤄보도록 하겠습니다.
미세유두암이 발견되신 분들 중에서 상황에 따라 고주파 치료를, 또는 외과적 수술을 권유할 수 있습니다. 갑상선 미세유두암 고주파 치료 같은 경우 아직 연구 단계에 있어서 교과서적으로 원칙이 있는 것은 아닙니다.
그러나 학술적으로 연구를 하고 논문을 발표하는 사람들이 대략 이런 상황에서는 갑상선암 고주파 치료를 할 분들과 그렇지 않을 분들을 선별하는 기준을 말씀드리고, 국내 현실을 반영한 기준 또한 말씀을 드리겠습니다.
갑상선 미세유두암이란?


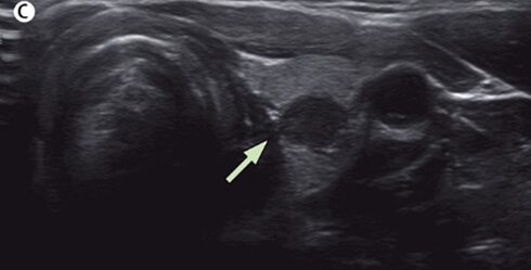
갑상선 유두암은 갑상선에 발생하는 몇 가지 암들 중에서 고주파 치료를 해볼 만한 암입니다. 갑상선 유두암 중에서도 크기가 1cm 이하인 유두암을 미세유두암이라고 부릅니다.
그리고 갑상선 미세유두암 중에서도 피막침범이 없고, 림프절 전이가 없으며, 타 장기로 원격 전이가 되지 않은 미세유두암을 저위험군 미세유두암이라고 부릅니다.
이러한 미세유두암부터가 고주파 절제술의 대상입니다. 최근에 나오는 갑상선 미세유두움 고주파 치료의 많은 연구 결과들을 보면 대게 저위험군 미세유두암 환자들을 대상으로 치료를 했습니다.
1. 더 안전한 요인을 가진 갑상선 미세유두암 환자
이제 저위험군 중에서도 고주파 치료를 하면 특별히 더 안전할 것 같다는 환자분들이 있습니다. 여기서 안전하다는 것은 갑상선암 환자분들 중에서도 고주파 치료 후 재발률이 훨씬 낮은 분들을 의미한다고 보시면 됩니다.
- 암의 크기가 6~7mm 보다 작을 경우
- 암의 크기가 1~3년 이상 크기나 모양이 변하지 않는 경우
- 암이 단일 미세유두암일 경우
- 여성의 경우
- 39~45세 이상인 경우
위에 보이는 5가지의 경우가 특별히 재발률이 낮은 경우라고 보시면 됩니다. 먼저 암의 상태로만 봤을 때는 6~7mm보다 크기가 작으며, 1~3년 이상 추적 검사 결과 크기와 모양의 변화가 없으며, 단독으로 있는 단일 미세유두암의 경우 재발률이 낮습니다. 그리고 남성보다는 여성, 나이는 39세~45세 이상보다 많으면 재발하는 경우가 적습니다.
하지만 갑상선암을 치료하는 데이터를 보시면 보통 이 5가지에 모두 해당하시는 분들은 거의 없습니다. 그래서 5가지 요소 중에서 3가지 정도가 해당이 되면 저위험군 중에서도 아주 안전하다고 판단을 합니다.
여기서 3가지에 포함되는 항목 중에서 단일 미세유두암인 경우는 반드시 포함을 합니다. 암이 단일이 아닌 여러 개의 암이 있을 경우에는 저위험군이더라도 재발률이 높기 때문에 수술을 권고합니다.
가장 안전하게 고주파 치료를 받으려면?
이러한 데이터들을 근거로 갑상선 미세유두암 고주파 치료의 위험성을 평가하는 것입니다. 당장 눈에 보이는 암을 고주파로 다 죽일 수 있는데, 10년 뒤에 재발 여부에 대한 위험성을 위에 항목처럼 단계로 나누 것입니다.
그래서 갑상선암을 치료하는 병원들이 저위험군이면서도 단일 갑상선 미세유두암인 것을 전제로 나머지 4가지 항목 중에서 두 가지 이상이 해당하시는 분들이 계시면 고주파 치료를 해 볼만 하다고 판단을 합니다. 예시를 보면 아래와 같습니다.
- 갑상선암이 단일 미세유두암이면서 크기가 6~7mm 보다 작고 여성인 경우
- 갑상선암이 단일 미세유두암이면서 크기가 6~7mm 보다 작고 1~3년 동안 변화가 없는 경우
- 갑상선암이 단일 미세유두암이면서 1~3년 동안 변화가 없고 환자의 나이가 39~45세 이상인 경우
1. 갑상선 미세유두암 치료는 아직 외과적 수술을 권장합니다.

그런데 생각보다 많은 분들이 외과적 수술 자체를 기피하게 때문에 고주파 치료와 같은 비수술적 방법을 고려합니다. 수술을 기피하는 이유는 대부분 수술 자체에 대한 거부감과 갑상선 한쪽을 제거하는 것에 대한 두려움이 크기 때문입니다.
하지만 아직은 갑상선암의 표준치료법은 외과적 수술이기 때문에 저위험군 중에서도 위의 항목에서 해당되는 경우가 아닐 경우에는 대부분 외과적 수술을 권장합니다.
또한 저위험군이면서 안전하다고 판단되는 항목에 해당이 되시는 분들 중에서도 지병이 있어 수술 자체가 위험한 경우, 전신 마취가 위험한 경우 등의 위험을 감수하고 외과적 수술을 하는 것보다는 재발률을 감수하더라도 고주파 치료를 하는 것이 낫다고 판단했을 때 병원에서 권장을 합니다.
2. 고주파 치료는 아직은 연구단계입니다.

갑상선 미세유두암 고주파 절제술이 아직은 연구 단계의 치료이다 보니 교과서적인 원칙이 딱 나와 있는 것이 없습니다. 그래서 각 병원에서 최선을 다하여 지금까지의 연구 결과들을 취합하고, 진료 기준을 만들어 놓습니다. 참고로 연구단계의 치료법이다보니 그 기분이 상당히 보수적으로 적용을 합니다.
많은 환자분들이 외과적 수술을 받기 두려워서 비수술적 방법을 찾다가 이러한 고주파 치료에 대한 정보를 많이 봅니다. 그래서 기대감을 가지고 병원에 갔는데, 고주파 치료를 할 수가 없다고 하여 실망을 하시는 분들도 많이 계십니다. 암은 아직 외과적 수술을 통해 제거를 하는 것이 가장 안전하고 확실한 수술 방법입니다.
갑상선암 치료 지원금 확인하는 방법
착한 암이라고 불리는 갑상선암도 결국은 우리가 두려워하는 암입니다. 그래서 당연히 치료하는 과정에서 많은 비용이 발생합니다. 최근 젊은 나이에 갑상선암에 걸려 병원에 찾는 환자분들이 증가하고 있습니다.
암을 예방하기 위해서는 평소에 미리미리 준비를 해두셔야 합니다. 갑상선암도 4기가 되면 당연히 완치가 힘들어질 수 있으며, 생존율이 확연하게 낮아집니다.
그래서 주기적인 건강검진을 받으면서 암보험금이나 의료비 지원에 대한 정보를 어느정도 알고 계시는 것이 좋습니다. 제가 지원금에 대한 정보글도 올려두었으니 같이 확인해 보시면 좋을 것 같습니다.
오늘은 이렇게 갑상선 미세유두암에 대한 간략한 정보와 함께 고주파 치료에 대한 내용을 다루어보았습니다. 많은 분들이 고주파 치료를 받기 위해서 정보를 찾고 계실 텐데, 받을 수가 없는 분들도 계시기 때문에 실망을 할 수도 있습니다.
하지만 아직은 연구 단계의 치료법이다 보니 너무 성급할 필요는 없으며, 최근에는 외과적 수술도 발달하여 큰 고통 없이 빠른 시일 내에 회복이 가능하니 너무 걱정하지 않으셔도 됩니다.
암 방사선 치료 방법에 대한 모든 정보 정리
오늘은 암 방사선 치료 기기와 방법에 대해서 자세히 설명을 드리겠습니다. 그중에서도 암 방사선 치료의 목적과 방사선 치료 장비에는 어떤 것들이 있는지 알려드리겠습니다. 보통 방사선 치
life-support2021.com
말기 암 환자가 겪는 증상과 임종 전 증상 알아볼까요?
2019년 기준으로 우리나라에서 암으로 사망한 환자가 1년간 약 8만 1천 명입니다 매일 200명 이상이 암으로 목숨을 잃고 있습니다. 정말 어마어마한 수치이며, 이러한 수치 때문에 암은 항상 두려
life-support2021.com
고혈압을 낮추는 음식들은 무엇이 있을까?
안녕하세요. 오늘은 고혈압 예방에 좋은 음식에 대해서 알아보겠습니다. 고혈압이 왜 생기며, 어떤 원리로 발생하는지는 따로 설명드리지는 않겠습니다. 여러분들이 원하시는 것은 어떤 것들을
life-support2021.com
